If FEMA had the bicycles, would it fund Hustler's manlet bib?
Bike Ride Profile | Death Climb near Santa Cruz | Times and Records | Strava
Joined: Sep 2005
Posts: 34,416
Total Cats: 7,531
From: Chicago. (The less-murder part.)
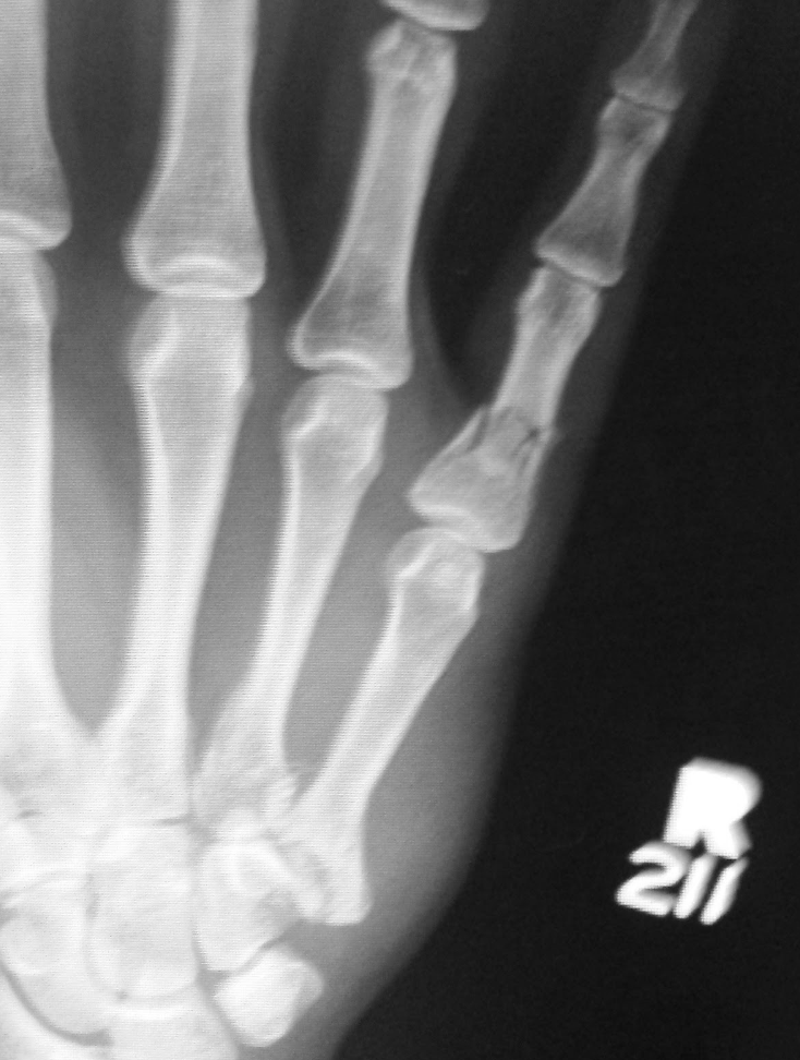
Remember how I was bitching and moaning about how rim brakes suck in the rain? Well, in the dry, the combination of Kool-Stop Salmon pads plus Michelin Pilot City tires = instant endo when you slam on the brakes while standing on the pedals in response to a pedestrian stepping out in front of you on 40th st.
On the plus side, I didn't land under the wheels of the bus that was beside me. On the minus side, I'm now a leftie. And of course this had to happen three days before Nicole and I are moving into our new house...
On the plus side, I didn't land under the wheels of the bus that was beside me. On the minus side, I'm now a leftie. And of course this had to happen three days before Nicole and I are moving into our new house...
Thread Starter
Joined: Jun 2006
Posts: 29,085
Total Cats: 375
From: Republic of Dallas
Remember how I was bitching and moaning about how rim brakes suck in the rain? Well, in the dry, the combination of Kool-Stop Salmon pads plus Michelin Pilot City tires = instant endo when you slam on the brakes while standing on the pedals in response to a pedestrian stepping out in front of you on 40th st.
On the plus side, I didn't land under the wheels of the bus that was beside me. On the minus side, I'm now a leftie. And of course this had to happen three days before Nicole and I are moving into our new house...
On the plus side, I didn't land under the wheels of the bus that was beside me. On the minus side, I'm now a leftie. And of course this had to happen three days before Nicole and I are moving into our new house...
I never really gained much in the way of dexterity in my left hand, surprisingly. You're in for a real treat over the next few months. Not that it needs to be said, but be very nice to the woman. I had a very difficult time alone.
Ouch, Joe.
Not sure if I should even point this out now, but it's helpful to shift your weight rearward while braking. You probably didn't have time though.
Pedestrians are probably the most dangerous thing on my commute, since most of it takes place on a bike/running trail. Runners cutting corners, tourists who think it's a sidewalk, foreigners on the wrong side, etc.
Not sure if I should even point this out now, but it's helpful to shift your weight rearward while braking. You probably didn't have time though.
Pedestrians are probably the most dangerous thing on my commute, since most of it takes place on a bike/running trail. Runners cutting corners, tourists who think it's a sidewalk, foreigners on the wrong side, etc.
This thread is kinda awesome.
I raced bikes, mountain and road, for over 10 years at a mildly competitive level, not like Emilio and a couple other guys on here, just a mere cat 3, but you guys that have been riding for a little over a year or less know WAY more about the equipment than I ever did. I just made sure I had air in my tires, my bike was clean and my chain was lubed up.
I did have a power meter though. Best money I ever spent on a training tool. Way better than deep dish carbon wheels. Not as cool looking though.
I raced bikes, mountain and road, for over 10 years at a mildly competitive level, not like Emilio and a couple other guys on here, just a mere cat 3, but you guys that have been riding for a little over a year or less know WAY more about the equipment than I ever did. I just made sure I had air in my tires, my bike was clean and my chain was lubed up.
I did have a power meter though. Best money I ever spent on a training tool. Way better than deep dish carbon wheels. Not as cool looking though.
Thread Starter
Joined: Jun 2006
Posts: 29,085
Total Cats: 375
From: Republic of Dallas
This thread is kinda awesome.
I raced bikes, mountain and road, for over 10 years at a mildly competitive level, not like Emilio and a couple other guys on here, just a mere cat 3, but you guys that have been riding for a little over a year or less know WAY more about the equipment than I ever did. I just made sure I had air in my tires, my bike was clean and my chain was lubed up.
I did have a power meter though. Best money I ever spent on a training tool. Way better than deep dish carbon wheels. Not as cool looking though.
I raced bikes, mountain and road, for over 10 years at a mildly competitive level, not like Emilio and a couple other guys on here, just a mere cat 3, but you guys that have been riding for a little over a year or less know WAY more about the equipment than I ever did. I just made sure I had air in my tires, my bike was clean and my chain was lubed up.
I did have a power meter though. Best money I ever spent on a training tool. Way better than deep dish carbon wheels. Not as cool looking though.
Remember how I was bitching and moaning about how rim brakes suck in the rain? Well, in the dry, the combination of Kool-Stop Salmon pads plus Michelin Pilot City tires = instant endo when you slam on the brakes while standing on the pedals in response to a pedestrian stepping out in front of you on 40th st.
On the plus side, I didn't land under the wheels of the bus that was beside me. On the minus side, I'm now a leftie. And of course this had to happen three days before Nicole and I are moving into our new house...
On the plus side, I didn't land under the wheels of the bus that was beside me. On the minus side, I'm now a leftie. And of course this had to happen three days before Nicole and I are moving into our new house...
FWIW, race brakes are often only one or two finger in any conditions. Once you get back riding, you might experiment with two finger braking if you weren't already. Since they can nose wheelie at will, another trick is to shift you weight way low and back on the bike when braking at max decel. Something you might practice in case you ever need to panic brake again. Heal up.
__________________
Joined: Sep 2005
Posts: 34,416
Total Cats: 7,531
From: Chicago. (The less-murder part.)
Biggest gripe is that, with me moving out to the 'burbs, I'm gonna need to buy a car with an automatic transmission until the hand is usable again.
I'll probably delay moving out of my place for a little while, at least until the surgery is done, I can get a car lined up, etc. Taking it one day at a time.
Sidebar: typing with my left hand is more annoying than I remember it being.
Just kills me to think about how out of shape I'm going to be in 2-3 months...
Thread Starter
Joined: Jun 2006
Posts: 29,085
Total Cats: 375
From: Republic of Dallas
I typed left handed from November through the end of February. That was awful, couldn't work a knife until March either.
My first month back was tough considering fitness, but after that I was back to where I left off.
My first month back was tough considering fitness, but after that I was back to where I left off.
Stationary trainer. They'll kill your back tire so buy a cheapo for that.
__________________










